Chirurgie Orala Alba - Aiud

Chirurgia Orala

Lakatos Dental efectueaza cu succes manopere chirurgicale pentru a salva si conserva dintii, in detrimentul extragerii lor. Toate aceste proceduri se realizeaza intr-un cadru cooperant pacient-doctor, cu discutii si informari in prealabil si ce este foarte important, cu anestezie locala pentru a nu fi dureroase.

Chirurgie Orala Alba - Aiud

Extractia dentara este o procedura deseori necesara chiar si de la varste fragede. Cu toate acestea, suntem pe principiul salvarii dintilor naturali in masura in care aceasta este posibila. In cazul in care dintii nu mai pot fi salvati, sunt distrusi, mobili sau manifesta alte afectiuni grave procedura de extractie este imperios necesara. 

Chirurgie Orala Alba - Aiud

Cu toate acestea se apeleaza la cele mai moderne tratamente de salvare a dintilor, care prin metode corect aplicate, reduc necesitatea extractiei si conserva dintii pentru o perioada lunga de timp.

Printre numeroasele proceduri chirurgicale, efectuate cu succes la Lakatos Dental, se numara:

  • Reconstructii osoase: adaugarea de os sau material de os necesar pentru implanturi
  • Rezectie apicala: eliminarea puroiului, a infectiei, clasice operatii la dinti ce sunt realizate fara disconfort, sub anestezie
  • Grefa osoasa: procedura complexa realizata in conditii de maxima igiena si siguranta
  • Boala parandotala
  • Extractiile
Chirurgie Orala Alba - Aiud

Marire os alveolar

Osteoporoza oaselor maxilarului este una dintre cele mai importante probleme intalnite dupa extractiile dentare. Daca decideti sa inlocuiti dintii pierduti cu un implant dentar, inaltimea si volumul osului capata o importanta mai mare. Un implant dentar are nevoie de oase de o anumita inaltime si volum.Procedura de implant necesita prezenta oaselor cu anumita inaltime si volum. Reduceri de volum ale oaselor la varste mici din cauza dintilor lipsa sau din cauza unor inflamatii gingivale severe pot fi reparate cu reparatii osoase. Aceste reparatii pot fi efectuate cu grefe auto, precum si cu materiale anorganice. In cazul in care se foloseste grefa auto, osul de pe sold este donatorul ideal. De asemenea, se pot folosi grefe de os din craniu.

Chirurgie Orala Alba - Aiud
Chirurgie Orala Alba - Aiud
Chirurgie Orala Alba - Aiud

Maseaua de minte

Molarii de minte apar in general, la varsta de 15-20 de ani. Cu toate acestea, in cazul in care nu exista spatiu pentru acesti dinti, ei nu se pot dezvolta si raman sub nivelul gingiei sau in osul maxilarului. Un dinte de minte dezvoltat partial provoaca, de obicei, infectii si algomerare de dinti. In cazurile mai avansate, capsula din jurul dintelui afectat se poate transforma intr-un chist si poate dizolva osul maxilarului.

Boala Paradontala

  • Gingiile inflamate, culoare rosiatica a gingiei si umflarea gingiei sunt primele semne unor probleme care, depistate din timp, se pot trata cu o igiena orala corespunzatoare, cu o simpla vizita la medicul dentist si o curatare profesionala a dintilor
  • Boala parodontala nu inseamna orice sangerare a gingiilor. Daca avem sangerari gingivale usoare atunci se poate trata problema chiar si cu un simplu detartraj, fiind in prealabil un consult medical imediat
  • In cazul in care simptomele sunt mai serioase, gingiile sangereaza sau dinti se misca, atunci este foarte important sa apelati la medicul dentist, pentru ca pot fi semne de boala parodontala. Chiar daca inca nu exista un tratament 100%, care sa vindece aceasta boala, solutiile sunt multe, iar daca sunt aplicate cat mai din timp, cu atat mai bine
  • Este imbucurator faptul ca boala parodontala sau parodontoza, se poate incetini sau chiar stopa, prin tratamente realizate corect
  • Recomandam un implant dentar premium, daca este necesara extractia unui dinte sau mai multi
Chirurgie Orala Alba - Aiud
Chirurgie Orala Alba - Aiud
Chirurgie Orala Alba - Aiud
Chirurgie Orala Alba - Aiud

Rezectia apicala

  • Tratamentul dentar fara durere, operatie clasica la dinti, executata de catre medicul nostru chirurg specializat in chirurgie orala
  • Eliminarea infectiei si a puroiului
  • In unele cazuri nu este nevoie de operatie dentara, eliminarea problemei si a durerii se poate face prin tratamente alternative, de natura tratamentului de canal. Acest tratament poate reprezenta o alternativa la clasica operatie dentara
Estetica paradontala

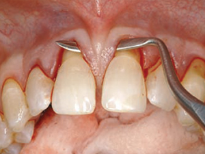
Chirurgia Plastica Gingivala

Cateodata, cand sunt probleme la nivel gingival, este nevoie de o interventie chirurgicala pentru a corecta aspectul gingiei. Interventia chirurgicala la nivelul gingiei este o interventie foarte delicata. Tehnici avansate de microchirurgie orala sunt folosite. Se recolteaza o grefa de gingie din cerul gurii, de la pacient, si este transportata in zona unde este nevoie de aceasta interventie.

Augumentarea de gingie este necesara cand nu exista volum suficient de gingie care sa imbrace fie dintele, fie implantul sau atunci cand cantitatea, inaltimea de gingie nu este suficienta si exista riscul sa se descopere spirele implantului.

Chirurgie Orala Alba - Aiud

Recoltarea grefelor de gingie este recomandata atat pentru zona anterioara, pe care o numim zona estetica, cat si pentru zona posterioara, in care, de exemplu, s-a inserat un implant dentar. Este foarte important ca un implant dentar, pe langa faptul ca trebuie sa aiba os suficient de jur-imprejur, trebuie sa aiba si gingie suficienta, tocmai pentru a ajuta la stabilitatea in timp a implantului.

Chirurgie Orala Alba - Aiud

Augumentarea de gingie este o interventie de microchirurgie prin care se recolteaza o portiune, o banda de gingie din bolta palatina, adica din cerul gurii sau din zona molarilor de minte, urmand ca aceasta portiune de gingie sa fie transferata in zona in care este nevoie, respectiv la dinti sau la implanturi.

Chirurgie Mucogingivala Alba

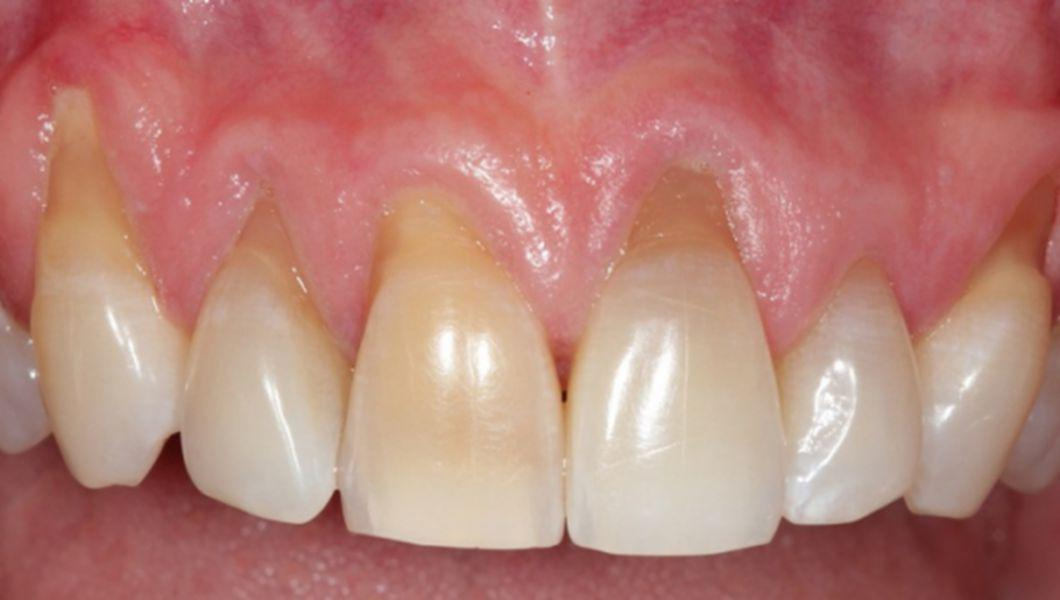
Chirurgia Mucogingivala

In cazul pacientilor cu “zambet gingival”, desi coroanele dintilor au dimensiuni normale, sunt acoperite de o cantitate mai mare de gingie, parand astfel mai scurte. Alteori linia gingivala poate fi asimetrica sau neregulata, conferind un aspect inestetic. Pentru a corecta aceste probleme vi se poate recomanda o interventie de remodelare si reconturare a acestor tesuturi (gingie si/sau os). Interventia de alungire coronara poate fi efectuata si cu scopul de a face alte proceduri restaurative/ cosmetice posibile, cum ar fi cazul unei carii cu evolutie profunda subgingival sau al unui dinte cu structura insuficienta supragingivala pentru a putea realiza o restaurare de tip coroana/ punte. In aceste situatii, prin interventia chirurgicala se ajusteaza nivelul gingival si osos pentru a expune mai mult din dinte.

Chirurgie Orala Alba - Aiud
Chirurgie Orala Alba - Aiud
Chirurgie Mucogingivala Alba

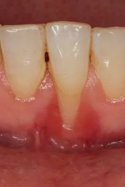
Acoperirea Recesiilor

Retragerea gingiei si a osului poate face ca radacinile dintilor sa devina expuse in cavitatea bucala. Este o problema comuna, un procent de 4 pana la 12% din pacientii adulti suferind de retragerea gingiei. Fiind un proces evolutiv, retractia gingivala trece de cele mai multe ori neobservata pana in momentul in care devine severa. Dintii par astfel mult mai lungi si sunt mai sensibili la actiunea factorilor externi (cald/rece/dulce). Retractia gingiilor poate avea o varietate de cauze, incluzand boala parodontala. Prin diverse tehnici de chirurgie mucogingivala se pot acoperi zonele de radacina expuse cu ingrosarea tesuturilor moi, impiedicandu-se astfel progresia retractiei gingiei si a pierderii osului subiacent si protejandu-se suprafetele radiculare vulnerabile la carie, cu diminuarea consecutiva a sensibilitatii.

Apeleaza-ne Acum!

Ai nevoie de o astfel de interventie?